At Aglow Dental Studio, our goal is to prioritize your overall health starting with your oral health. Our team is highly trained and compassionate about your needs. We are committed to improving our patients’ confidence through their smiles. It is our prerogative to make sure that everyone that walks through the door is treated with respect and compassion.
We value our patients and our goal is to build long term relationships with you.
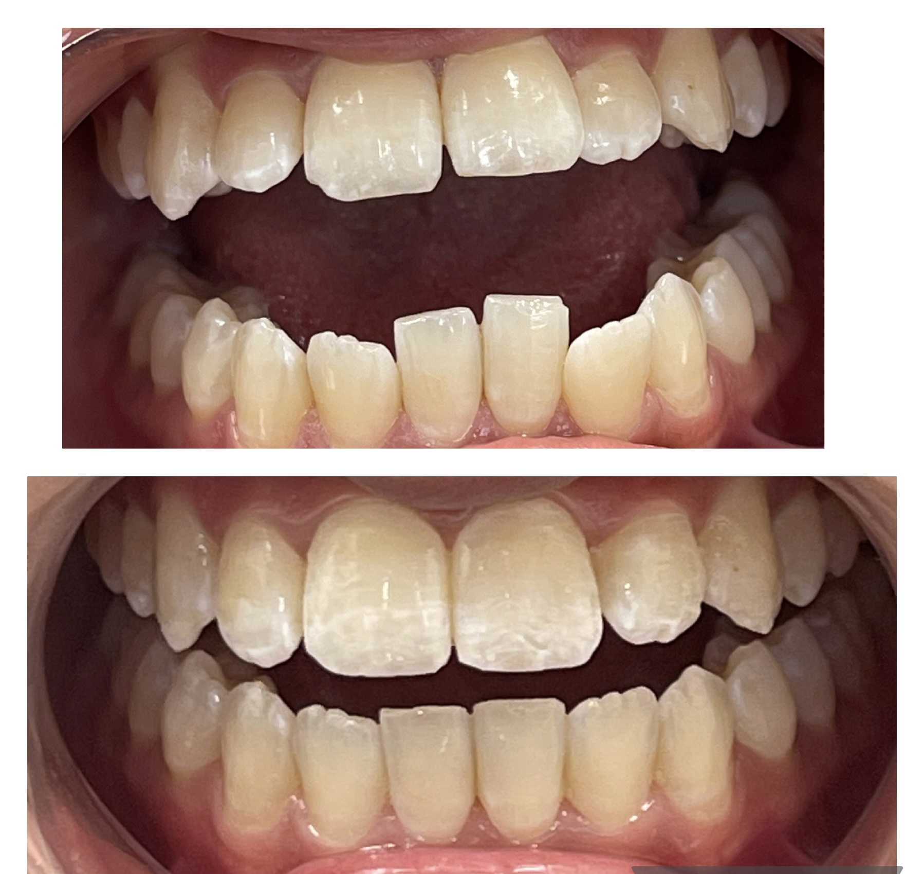
We offer all forms of General Dentistry such as Dental Exams, teeth whitening, fillings , Cleanings, Perio therapy, Invisalign, Veneers, Crowns and Bridges. We also provide specialty services including Implants, Root canal treatment, Extractions , Dentures.
Receive your care in our state of the art facility and in a highly relaxed environment
Patients who come through our doors will be helping us make a positive impact to our community. Dr. Ahanor and Aglow Dental Studio have partnered with Kids R First, a local charity here in Reston. Kids R First is an all-volunteer non-profit organization dedicated to the education and assistance of kids in grades K-12 from famiilies of limited financial means with school supplies so that they can receive the same opportunities as their peers. As a part of our “BE 7 Partnership“, Dr. Ahanor will sponsor $7 for every 7 new patients at Aglow Dental Studio.
Aglow Dental Studio is a black owned dental
office, located in Reston, Norther Virginia.
No Records Found
Sorry, no records were found. Please adjust your search criteria and try again.
Google Map Not Loaded
Sorry, unable to load Google Maps API.
-
Doctor Name: Rosemary Ahanor
Dental Specialties: Endodontics, General Dentistry, Oral & Maxillofacial Surgery, Orthodontics and Dentofacial Orthopedics, Pediatric Dentistry, Periodontics, and Prosthodontics
Practice Phone #: 7036516130
Practice Email: info@aglowdental.com
: 9:30 am - 6:00 pm
Mon
9:30 am - 6:00 pm
Tue
9:30 am - 5:00 pm
Wed
Closed
Thu
10:00 am - 7:00 pm
Fri
8:30 am - 5:00 pm
Sat
Closed
Sun
Closed
Address:
11150 Sunset Hills Rd
Reston,Virginia 20190
11150 Sunset Hills Rd
Reston,Virginia 20190










































